医用胶片在现代医疗中发挥的作用
医用胶片在现代医疗中发挥的巨大的作用医用胶片具有非常高的环保性能,这类材料是不含有各种有害的化学物质,卤化银、显色剂这类有毒的物质都没有,所以人体的影响也并不是特别大,操作人员不会受到这些有害物质的损...
发表时间:2025-05-29点击量:733次医用放射胶片的材料成分和优点
医用放射胶片的材料成分和优点近些年,医用放射胶片产生了独特的转变。新式数子医用放射胶片因为利润便宜,备受地区代理和诊所的亲睐,行业前景宽阔,慢慢替代了粗放型医用放射胶片,在中国得到了大力发展。PET医用...
发表时间:2023-05-08点击量:3923次谈医用彩超胶片的运用室内环境有什么
谈医用彩超胶片的运用室内环境有什么医用胶片由红色聚酯薄膜做成,背面涂有乳剂,背面涂有抗晕,膜厚,画质好,可用于有所不同的中医学图像,如:核磁共振成像、体层摄像、数子减影、肿瘤放疗等。超声成像等,可以用...
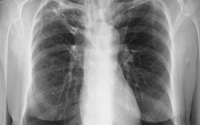
发表时间:2023-04-18点击量:7378次医用CT胶片的功能介绍
医用CT胶片,作为诊断的重要工具之一,影像的质量显得非常关键,胶片的优劣将影响医生的精准诊断,众所周知,医生通过肉眼观察影像来发现病灶,诊断病情,患者通过打印、保存胶片来提供转诊及证明资料,这些都对胶片...
发表时间:2019-10-29点击量:11241次医用放射胶片的自助打印介绍
医用放射胶片的自助打印介绍全新的自助打印取片子。 新体验已经完成操作非常简便:看过操作提示后,将之前预约窗口提供的条形码,在机器屏幕下的红外线口一扫,“嘀”的一声,屏幕上显示出“当前状态”,包括姓名,...
发表时间:2019-10-14点击量:10155次超声自助打印系统的优势
统工作原理 系统从各种不同工作站上接受打印数据存入后台报告服务器,由系统解析报告内容后获取条码号,患者使用条形码在自助终端上扫描条码获取报告。一,自助打印功能的实现步骤 报告打印模块:工作站使用虚拟打印...
发表时间:2019-09-23点击量:8596次医用胶片应用发展的痕迹
1895年伟大的德国科学家伦琴(W. C. Roentgen)发现了 X-射线,并在同年拍摄了******张X一射线胶片.第二年X一射线便开始应用于医学临床。( X一射线与钨酸钙(CaWO,)、氟抓化钡(BaFCI: Eu)、硫氧化钥(La2O2S: Tb),硫氧化I...
发表时间:2019-09-04点击量:8763次医用激光胶片和医用干式胶片徐州中标通知
热烈祝贺无锡越泽医疗科技有限公司的医用激光胶片和医用干式胶片在徐州地区中标,欢迎新老客户咨询洽谈!
发表时间:2019-04-15点击量:6335次医用胶片打印机现发展现状简析
医用胶片打印机发展经过湿式、干式两大阶段,目前湿式已经退出市场,基本上是干式类的热敏与激光二分天下的阶段,但同时干式打印的喷墨打印也占有一定的市场。其中干式热敏胶片打印机结构简单,机器小巧,价格也相对...
发表时间:2018-12-31点击量:9538次医用胶片不再“洋品牌”说了算!国产胶片未来可期
自1895年德国物理学家伦琴发现X射线以后,人类医学进入了影像时代。在过去的100多年里,随着人类文明的不断发展和医学技术的日新月异,医学影像在疾病诊治中的地位越来越重要,医用胶片的用量因此在迅猛增长。中国是...
发表时间:2018-12-26点击量:10518次医用胶片,你了解么?
按胶片用途可分为以下几种:感蓝X光胶片、感绿X光胶片、CT胶片、激光胶片、乳腺胶片、红外激光胶片、氦氖激光胶片、干式胶片、氦氖激光胶片 、干式热敏打印胶片等等.医用胶片种类:医用胶片属于银盐感光材料中的一种...
发表时间:2018-12-25点击量:11534次医用胶片,不能不说的秘密
这是一篇病人也看得懂的医用胶片科普帖通常来说,医用胶片主要分为三大类型医用干式激光胶片用途:用作诊断依据的医学成像 CT MRI CR DR组成:由聚酯(PET)片基包被银盐和保护层组成优点:成像清晰满足精准诊断,出...
发表时间:2018-12-24点击量:9055次淮安中标通知
热烈祝贺:我公司的医用放射胶片和医用B超胶片在江苏淮安中标
发表时间:2018-07-09点击量:6926次苏州中标通知
热烈祝贺:我公司的医用放射胶片和医用B超胶片在江苏苏州中标
发表时间:2018-07-09点击量:6373次盐城中标通知
热烈祝贺:我公司的医用放射胶片和医用B超胶片在江苏盐城中标
发表时间:2018-07-09点击量:6189次无锡中标通知
热烈祝贺:我公司的医用放射胶片和医用B超胶片在江苏无锡中标
发表时间:2018-07-09点击量:7234次医用放射胶片和医用B超胶片中标通知
医用放射胶片和医用B超胶片中标通知 热烈祝贺:我公司的医用放射胶片和医用B超胶片在江苏全面中标。中标地区有:无锡、常州、苏州、泰州、徐州、南通、连云港、盐城、淮安等地。欢迎...
发表时间:2018-07-09点击量:6639次医用胶片的注意事项
医用放射胶片/医用放射胶片的产品特点
医用胶片和传统的胶片相比较有什么进步
医用胶片具有许多优良的特性,可以应用于各种医学诊疗、疾病相关检查、B超检查和一些口腔检查、红外线检查、阴道镜检查、阴道电子显微镜检查等。对于这种类型的电影,使用传统的电影照明阶段,有什么...
发表时间:2018-07-04点击量:8802次